Unser Behandlungsspektrum umfasst alle Bereiche der Zahnmedizin - bei Jung bis Alt.

In unserer Praxis werden mordernste Techniken genutzt, um Ihren Besuch bei uns so angenehm wie möglich zu gestalten.

Beispielsweise ersetzt unser moderner Scanner durch digitale Abformung den konventionellen Abdruck bei neuem Zahnersatz und Schienen.

Unser praxiseigenes 3D Rötgengerät (DVT) ermöglicht eine präzise Implantatplanung vor Ort ohne zusätzliche Wege zu Überweisern.


Anbei erhalten Sie einen Überblick über unser Leistungsspektrum.

Veneers

Ein Veneer ist eine hauchdünne, lichtdurchlässige Keramikschale, die mit Spezialkleber auf die Zahnoberfläche – vor allem von Frontzähnen – dauerhaft aufgeklebt wird. Durch Veneers erhalten die sichtbaren Oberflächen der Zähne ein optimiertes Aussehen, und auch die Zahnfarbe wird bei diesem Verfahren individuell nach Ihren Wünschen verändert. So ist es möglich Verfärbungen, Formveränderungen und Stellungsanomalien zu korrigieren.

Keramikinlays

Der Gesichtspunkt der Ästhetik hat in den Zahnarztpraxen während der letzten Jahre rapide an Bedeutung gewonnen. Immer mehr Patienten wünschen heute eine "kosmetisch ansprechende" Füllung auch im Seitenzahnbereich. Keramikinlays sind zweifellos die ästhetisch allerschönste Alternative zum Amalgam.

VORHER

NACHHER

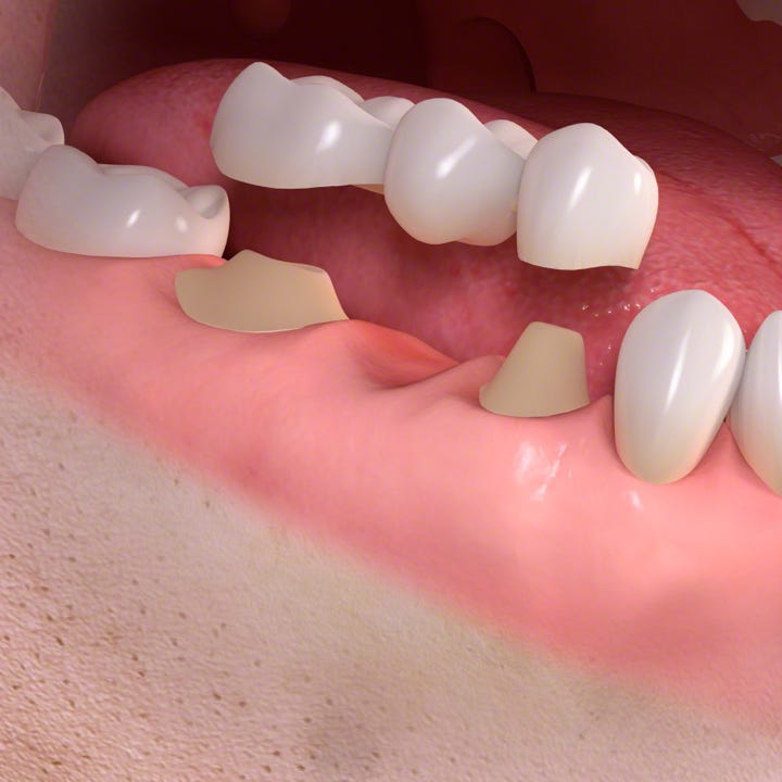
Keramische Kronen und Brücken

Ist ein Zahn einmal so stark zerstört, dass er nicht mehr mit einer Füllung oder einem Inlay versorgt werden kann, lässt sich diesem meist mit einer individuell angepassten Krone zu neuem Glanz verhelfen.

Fehlt ein Zahn und ein Implantat lässt sich nicht inserieren oder ist nicht gewünscht, kann in der Regel auch mit einer Brücke versorgt werden.

Herausnehmbarer Zahnersatz

Ist eine festsitzende Versorgung nicht möglich, bietet auch der herausnehmbare Ersatz oft eine gute Alternative. Besonders in Form von kombiniertem Zahnersatz. Unter kombiniertem Zahnersatz versteht man eine Kombination von festsitzenden und abnehmbaren Zahnersatzformen. Die Konuskronen (kombinierter Zahnersatz) gehören in der zahntechnischen Herstellung zu den kompliziertesten Ausführungen von Zahnersatz und bieten der herausnehmbaren Brücke oder Prothese einen sehr guten Halt.

Mit implantologischen Fragestellungen sind Sie in unserer Praxis bestens aufgehoben.

Unsere Praxis ist seit über 10 Jahren implantologisch zertifiziert und verfügt über den anerkannten „Tätigkeitsschwerpunkt Implantologie“.

Was ist ein Dentalimplantat überhaupt ?

Eine künstliche Wurzel, die wie eine natürliche funktioniert.

Wenn ein Zahn und seine Wurzel fehlen, ist die langfristige Lösung für eine natürliche Funktion ein Dentalimplantat mit dazu passender Krone.

Über Zahnimplantate

Ein Dentalimplantat ist ein kleiner, aber stabiler Pfosten aus biokompatiblen Metallen oder Keramiken. Es wird unter Lokalanästhesie anstelle der fehlenden Zahnwurzel in den Kieferknochen gesetzt und fungiert als Stütze für den Zahn.

Die Einheilphase dauert zwischen 6 und 12 Wochen, abhängig von der individuellen medizinischen Situation. Während dieses Zeitraums wird das Implantat sicher im Kieferknochen befestigt – ein als Osseointegration bezeichneter Prozess. Nach der Einheilung fungiert diese künstliche Wurzel als Basis für die Befestigung einzelner Kronen, mehrgliedriger Brücken oder einer Totalprothese.

Ist eine Implantattherapie eine teure Lösung ?

 Nach 7 Jahren beginnen sich die Kosten einer Einzelzahnversorgung auszuzahlen, da die langfristigen Erhaltungskosten geringer sind als bei einer konventionellen Brücke.Im Gegensatz zu dem, was Sie vielleicht denken, sind konventionelle Prothesen langfristig gesehen, nicht immer die preisgünstigere Variante. Die anfänglichen Kosten für eine Dentalimplantat–Behandlung hängen davon ab, wie viele Implantate benötigt werden und ob eine Knochenaugmentation erforderlich ist. Weitere Faktoren sind unter anderem die Operation selbst, die Arbeit im Labor, der Zahnersatz sowie die Honorare von Zahnarzt und Zahntechnikern. Ein Kostenplan kann erst erstellt werden, wenn alle diese Aspekte geklärt wurden. In jedem Fall sind Dentalimplantate eine Investition in mehr Lebensqualität und in einigen Situationen können sie auf lange Sicht wirtschaftlicher sein.

Wurzelentzündung behandeln – Zahn retten

Gelangen Bakterien in das Zahnmark, auch Pulpa genannt, können sie eine Wurzelentzündung auslösen. Eine Wurzelbehandlung wird notwendig, um den Zahn zu retten.

Ursache bei einer Entzündung des Nervs im Wurzelkanal ist meist eine tiefe Karies. Aber auch bei abgebrochenen Zähnen durch einen Unfall können Bakterien in das Innere des Zahns gelangen. Bleibt die Entzündung unbehandelt, können sich die Bakterien über die Wurzelspitze in das umliegende Gewebe weiter ausbreiten. Als Symptom kann die klassische, schmerzhafte „dicke Backe“ mit Eiteransammlung entstehen. Auch ein schmerzloses Absterben des Zahnnervs ist möglich. Dabei kann die lokale chronische Entzündung zur Belastung des ganzen Körpers führen. Zur Diagnostik ist eine Röntgenuntersuchung notwendig.


Was passiert bei einer Wurzelbehandlung?

Zu Beginn der Behandlung eröffnet der Zahnarzt den Zahn meist unter lokaler Betäubung. Er entfernt das infizierte Gewebe mit sehr dünnen Instrumenten. Zusätzlich spült der Zahnarzt den Wurzelkanal mit einer antibakteriellen Lösung. Gleichzeitig kontrolliert er anhand von Röntgenbildern den Erfolg der Behandlung. Elektronische Wurzelkanallängenbestimmungen sind bei der Behandlung hilfreich. Es können mehrere Sitzungen notwendig sein. In der Zwischenzeit versorgt der Zahnarzt den Zahn mit einer antientzündlichen oder antibakteriellen Einlage und verschließt den Zahn provisorisch. Wichtig ist, möglichst alle Bakterien aus dem Kanal zu entfernen. Dann bekommt der Wurzelkanal eine bakteriendichte Füllung – meist aus Guttapercha, einer gummiartigen Masse.

Kleinste Kanäle reinigen

Die Wurzelkanalsysteme im Inneren des Zahns sind komplexe Strukturen. Bei einer Entzündung sind die feinen Verästelungen und Seitenkanälchen der Zahnwurzel nicht einfach zu reinigen. Die Vergrößerung mit einer Lupenbrille hilft dem Zahnarzt, die kleinen Strukturen besser zu überblicken.


So säubert der Zahnarzt den Wurzelkanal

Der Zahnarzt entfernt bei einer Wurzelbehandlung das von Bakterien befallene Gewebe mit sehr dünnen, hochflexiblen Instrumenten aus einer Nickel-Titan-Legierung oder Edelstahl. Häufig werden maschinelle Verfahren zur Aufbereitung des Wurzelkanals mit diesen feinen Instrumenten eingesetzt. Die kleinsten haben an ihrer Spitze einen Durchmesser von gerade einem zehntel Millimeter. Sie passen sich den oft stark gekrümmten Kanälen perfekt an und können sie optimal aufbereiten. Elektronische Wurzelkanallängenbestimmungen sind bei der Aufbereitung sehr hilfreich. Zusätzlich desinfiziert er den Kanal mit antibakteriellen Spülungen. Ultraschall verbessert die Wirksamkeit der Spülungen im Kanalsystem.


Mit Röntgen den Erfolg überprüfen

Unerlässlich für die Wurzelbehandlung – von der Diagnose über die Behandlung bis hin zur Kontrolle des Behandlungserfolgs – sind Röntgenuntersuchungen. Ohne sie könnten Zahnärzte Wurzelbehandlungen nicht durchführen. Die Strahlenbelastung ist dabei sehr gering und wird bei Einsatz von digitaler Röntgentechnik reduziert.


Füllung oder Zahnersatz stellen Zahn wieder her

Um den Zahn komplett wieder herzustellen und das erneute Eindringen von Bakterien zu verhindern, bekommt er abschließend eine endgültige Füllung. Oft wird der Zahn mit einer vom Zahntechniker individuell gefertigten Krone oder Teilkrone aus dem Dentallabor versorgt. Nach sechs bis zwölf Monaten zeigt eine Röntgenaufnahme, ob die Wurzelkanalbehandlung erfolgreich war. Sollte dies nicht der Fall sein, lohnt es sich oft, die Behandlung zu wiederholen. Manchmal ist es nötig, mit einer sogenannten Wurzelspitzenresektion die Wurzelspitze operativ freizulegen und das entzündete Gewebe zu entfernen.

Wie wirkt Lachgas ?

Über eine kleine Nasenmaske wird ein Gemisch aus Sauerstoff und Lachgas verabreicht. Stickoxydul hilft, bei der Zahnarztbehandlung entspannen zu können und Angstgefühle zu reduzieren. Über diesen Entspannungszustand gelangt der Patient in eine Art Trance, in der er aber jederzeit voll ansprechbar und Herr seiner Sinne bleibt, man fühlt sich leicht und entspannt. Gleichzeitig mit der Angst nehmen auch die Schmerzempfindlichkeit und eventuell vorhandener Würgereiz stark ab. 

Durch die angstlösende Wirkung verspürt der Patient ein beruhigendes Gefühl

von Geborgenheit.

Was ist Lachgas ?

Im allgemeinen bekannt unter dem Namen Lachgas, ist Stickoxydul ein nicht allergenes, nicht reizendes Gas, welches das zentrale Nervensystem beeinflusst.

Die analgetische (schmerzstillende) und sedierende  (beruhigende) Wirkung wurde bereits im 19. Jahrhundert entdeckt und wird heute millionenfach als Narkosemittel angewandt.Die Zahnmedizin nutzt vor allem die sedierende anxiolytische  Eigenschaft zur Behandlung ängstlicher Patienten. 

In Deutschland wird Lachgas eher selten angewandt. In den USA, Großbritannien, Skandinavien und in Australien ist sie dagegen sehr verbreitet. Dort wenden weit mehr als die Hälfte aller Zahnärzte Lachgas routinemäßig an.

Aufgrund seiner guten Verträglichkeit ist Stickoxydul auch sehr gut für die Kinderzahnheilkunde geeignet.

Wie lange hält die Wirkung des Lachgases an ?

Die Wirkung von Lachgas ist nach der Behandlung innerhalb von 3 min. komplett aufgehoben und Sie können nach 15-30 Minuten ohne Begleitperson die Praxis wieder verlassen. Diese optimale Steuerbarkeit ist ein entscheidender Vorteil bei diesem Sedierungsverfahren. Die von anderen Sedierungsverfahren bekannte überhängende Wirkung entfällt.

Parodontitis und Symptome

An der Verankerung des Zahnes im Knochen sind verschiedene anatomische Strukturen (Zahnfleisch, Knochen, Wurzelzement und Haltefasern) beteiligt, die unter dem Begriff Parodontium (Zahnhalteapparat) zusammen gefasst werden. Eine Parodontitis ist eine entzündliche Erkrankung, die in erster Linie durch Bakterien in den Zahnbelägen (Plaque) verursacht wird.

Im Laufe der Erkrankung kommt es dabei zur Zerstörung aller Anteile des Zahnhalteapparates und damit zu Zahnfleischrückgang, Lockerung des Zahnes und in fortgeschrittenen Fällen auch Zahnverlust.

Eine Parodontitis beginnt immer mit einer Zahnfleischentzündung (Gingivitis), die sich durch Rötung und Schwellung des Zahnfleischs und vor allem durch Zahnfleischbluten bemerkbar macht. Aus einer Gingivitis kann sich eine Parodontitis entwickeln, ohne dass Sie deutliche Zeichen davon wahrnehmen. Außer gelegentlich blutendem Zahnfleisch treten eventuell Mundgeruch auf, es kann zur Änderung der Zahnstellung, länger werdende und gelockerte Zähne kommen. Eine Parodontitis verläuft zumeist ohne deutliche Schmerzen und wird daher oft erst in einem fortgeschrittenen Stadium entdeckt.

Kommen Sie daher immer regelmäßig zur Vorsorgeuntersuchung, wo wir regelmäßig Ihren PSI Wert bestimmen ( Parodontaler Screening Index ).

Ursachen der Parodontitis

Die gesunde Mundhöhle wird von über 700 Arten von Bakterien besiedelt, die überwiegend nützlich oder harmlos für den Menschen sind. Gingivitis oder Parodontitis entwickeln sich, wenn durch unzureichende Reinigung der Zähne die Zahnbeläge und damit die Menge der Bakterien zunimmt. Wird der zunächst weiche Belag bei der Zahnpflege nicht entfernt, verfestigt er sich durch Einlagerung von Mineralien: Es entsteht Zahnstein. Zahnstein fördert das Wachstum der Plaque Richtung Zahnwurzel. Zwischen Zahnwurzel und Zahnfleisch bildet sich ein Spalt, die Zahnfleischtasche. Sie stellt einen idealen Lebensraum für Bakterien dar. 

Gifte aus dem Bakterienstoffwechsel gelangen in das Zahnfleisch. Dort lösen sie eine Reaktion der körpereigenen Abwehr aus. Schweregrad und Verlauf der Zahnbetterkrankungen werden daher nicht nur von Menge und Art der Bakterien bestimmt, sondern auch von der individuellen Stärke der natürlichen Abwehr des Patienten. Zudem können weitere Risikofaktoren den Verlauf der Erkrankung beeinflussen. 

Mitglied

Ästhetische Zahnmedizin

Sie fühlen sich unwohl beim Lächeln und sind unzufrieden mit Ihrer Zahnfarbe oder -form? In unserer Praxis bieten wir auch diverse ästhetische Zahnbehandlungen an. Dazu zählen die Behandlung von weißlichen Flecken (meist auf den Schneidezähnen), Zahnaufhellung durch Bleaching und Farb- und Formkorrekturen durch dünne Keramikteilkronen (Veneers).


White Spot Behandlung

Weiße Flecken auf den Zähnen können durch einen Unfall, eine beginnende Karies (z.B. nach Brackettherapie), eine Überfluoridierung oder durch einen angeborenen Schmelzdefekt entstanden sein. Viele Betroffene empfinden diese als störend und wünschen sich eine Behandlung. Mittels dem in unserer Praxis verwendeten Material „Icon vestibular“ können diese Flecken sehr substanzschonend und schmerzfrei behandelt werden. Durch entsprechende Vorbehandlung und das hochfließende Kunststoffmaterial kann auf diese Weise eine sehr schöne Anpassung an die übrige Zahnfarbe erzielt werden.


Bleaching

Mit der Zeit werden Zähne zunehmend gelblicher und dunkler. Mittels professioneller Zahnaufhellung (Bleaching) haben Sie die Möglichkeit, Ihre Zähne in unserer Praxis aufhellen zu lassen. Gemeinsam schauen wir, ob ein Bleaching bei Ihnen möglich ist, und ermitteln nach einer professionellen Zahnreinigung die angestrebte Zahnfarbe. Sie erhalten individuell für Ihre Zähne angefertigte Schienen mit zertifiziertem Bleachingmaterial, welche Sie zuhause 1-2 Nächte tragen. Gemeinsam evaluieren wir anschließend, ob die Wunschfarbe bereits erreicht oder ein weiterer Durchgang notwendig ist. Dieses Vorgehen unterscheidet sich deutlich von frei verkäuflichen Produkten, von denen wir aus Sicherheitsgründen abraten. Eine ausführliche Aufklärung über die Anwendung, Kosten und Risiken ist dabei selbstverständlich.

Veneers

Ein Veneer ist eine hauchdünne, lichtdurchlässige Keramikschale, die mit Spezialkleber auf die Zahnoberfläche – vor allem von Frontzähnen – dauerhaft aufgeklebt wird. Durch Veneers erhalten die sichtbaren Oberflächen der Zähne ein optimiertes Aussehen, und auch die Zahnfarbe wird bei diesem Verfahren individuell nach Ihren Wünschen verändert. So ist es möglich Verfärbungen, Formveränderungen und Stellungsanomalien zu korrigieren.

Liebe Eltern, 

 

nicht nur Sie, sondern auch Ihr Baby, Kind oder Teenager ist in unserer Familienpraxis in besten Händen.

 

Bereits ab dem ersten Milchzahn empfiehlt es sich, einen Kontrolltermin beim Zahnarzt zu vereinbaren. In diesem ersten Termin hat Ihr Kind die Möglichkeit, die Praxisumgebung kennenzulernen und sich an eine Kontrolle zu gewöhnen - entspannt und ohne Zwang. Hierbei nehmen wir natürlich ganz besondere Rücksicht. Bei Kindern werden regelmäßige Kontrolltermine (Frühkindliche Untersuchung) empfohlen. Diese Termine dienen auch dazu, dass wir mit Ihnen wichtige Informationen zur Kariesprophylaxe besprechen können. Auffälligkeiten die Zähne, den Biss oder Verhaltensmuster rund um den Mund betreffend können wir so frühzeitig feststellen, behandeln oder Sie ggfs. überweisen. 

 

Ab 6 Jahren haben Kinder außerdem Anspruch auf ein individuelles Prophylaxeprogramm inklusive Zahnputztraining - so wird der wichtige Grundstein für eine gute häusliche Mundhygiene gebildet. 

 

Sollte doch einmal ein Loch zu sehen sein, ist dies kein Grund zur Panik. Dennoch ist es wichtig, dieses nicht nur im bleibenden, sondern auch bereits im Milchzahngebiss zu behandeln.

Durch die angenehme Praxisatmosphäre, unsere Kinderspielecke im Wartebereich, einen Bildschirm über dem Behandlungsstuhl und eine kleine Überraschung danach erleichtern wir es Ihrem Kind, sich rundum wohl zu fühlen. Sollte sich Ihr Kind dennoch unwohl fühlen und sich das Ganze etwas schwieriger gestalten, beraten wir Sie gerne über die Möglichkeit der Lachgasbehandlung für Kinder ab 4 Jahren.

 

Sprechen Sie uns bei Fragen gerne an. Wir möchten, dass sich alle bei uns wohlfühlen.

Die professionelle Zahnreinigung

Die Vorsorge durch regelmäßige professionelle Zahnreinigung wird von den zahnärztlichen wissenschaftlichen Fachgesellschaften empfohlen. Sie sollte alle sechs bis zwölf Monate durchgeführt werden. Die Häufigkeit der Vorsorge wird von zahlreichen Faktoren bestimmt. Bei kariesaktivem Gebiss oder parodontaler Vorschädigung sollte eine PZR alle drei bis sechs Monate durchgeführt werden. Als Erhaltungstherapie nach einer Parodontitisbehandlung (Unterstützende Parodontaltherapie) ist eine regelmäßige PZR angezeigt, um das Behandlungsergebnis zu bewahren. Bei diesen Risikopatienten wird die Frequenz der PZR je nach parodontalem Zustand gegebenenfalls erhöht.

Die häusliche Zahnpflege (was Sie selbst tun können)

Zahnmedizinische Vorbeugung hat das Ziel, die Zähne und das Zahnfleisch gesund zu erhalten. Wir unterstützen Sie hierbei gern mit vielfältigen Maßnahmen. Für den Erfolg ist es jedoch entscheidend, daß jeder Patient zuhause regelmäßig selber Vorsorge betreibt, indem er seine Zähne reinigt und sich gesund ernährt.

Die Ursachen für die kariöse Zahnzerstörung und zugleich für Zahnfleischerkrankungen sind bakterielle Zahnbeläge (Plaque). Daher muß die Plaque entfernt werden. Dies bedeutet regelmäßige und sorgfältige Reinigung der Zahnoberflächen und Zahnzwischenräume. Die wichtigsten Hilfsmittel hierzu sind Zahnbürste, Zahnpasten und Zahnseide. Um alle Zahnflächen der Mundhöhle reinigen zu können, sind Kurzkopf-Zahnbürsten mittlerer Härte mit dünnen Kunststoffborsten und abgerundeten Borstenenden die geeigneten Handinstrumente. Sehr gute Reinigungsergebnisse werden auch mit einigen elektrischen Zahnbürsten erreicht, lassen Sie sich hierzu bei uns beraten. Bei Kindern erfordern die engen Verhältnisse im Mund eine kleine, spezielle Kinderzahnbürste. Diese muß besonders für Kinder bis zum Schulalter einen dicken Griff haben, damit die kleinen Kinder sie gut mit der Hand führen können. Der Reinigungseffekt beim Zähneputzen wird durch Zahnpaste wesentlich unterstützt. Die verwendete Zahnpaste sollte grundsätzlich Fluorid enthalten. Für kleine Kinder sind spezielle Kinderzahnpasten mit reduziertem Fluoridgehalt zu empfehlen, die so lange verwendet werden sollten, bis das Kind selbstständig gründlich ausspülen kann und die Zahnpaste nicht mehr verschluckt wird. Danach kann auf eine Zahncreme mit normalem Fluoridgehalt (ca.1500ppm) gewechselt werden. Befragen Sie uns hierzu. Eine gute Zahnbürste und eine fluoridhaltige Zahnpaste können jedoch nur wenig bewirken, wenn sie nicht richtig und regelmäßig angewendet werden. Das wichtigste für Ihre Zahngesundheit ist, dass die Hilfsmittel zur korrekten  und regelmässigen Anwendung kommen. Abhängig vom Alter, der Zahn- und Zahnfleischsituation sind jedoch unterschiedliche Bürsttechniken für eine gründliche und trotzdem schonende Zahnreinigung erforderlich. Allgemein gilt aber, daß horizontales Hin- und Herschrubben zur Gebißreinigung ungeeignet ist und, daß auf keinen Fall mit viel Kraftaufwand geputzt werden darf. Mit Kraft geht die Zahnreinigung auch nicht schneller voran, aber es kann zu Verletzungen und Abnutzungen an Zähnen und Zahnfleisch kommen. Welche Technik für Sie die geeignete ist, können wir Ihnen anhand der bei Ihnen festgestellten Besonderheiten und Probleme empfehlen und zeigen. Auf jeden Fall sollte die Zahnreinigung mindestens zweimal am Tag erfolgen, und zwar nach dem Frühstück und vor dem Zubettgehen. Es ist wichtig, daß abends nach dem letzten Zähneputzen nichts mehr verzehrt wird, weil sonst Nahrungsreste die ganze Nacht auf den Zähnen bleiben würden. Mit der Zahnbürste lassen sich jedoch nicht alle Zahnflächen von bakteriellem Zahnbelag befreien. Eine Reinigung der Zahnzwischenräume ist ebenfalls erforderlich. Zahnbeläge und Essensreste lassen sich aus engen Zwischenräumen mit Zahnseide entfernen. Dies sollte einmal täglich erfolgen. Spezialzahnseiden stehen für die Reinigung unter Brücken und an Implantaten zur Verfügung. Für größere Zahnzwischenräume, wie sie z.B. bei Erwachsenen mit Zahnfleischproblemen auftreten, ist der Einsatz von Zahnzwischenraumbürsten zweckmäßig. Diese Spezialbürsten werden in unterschiedlichen Größen angeboten. Medizinische Zahnhölzer können zwar Essensreste beseitigen, nicht jedoch die Plaque. Sie sollten daher nur in Ausnahmefällen benutzt werden. Welche Zahnseide oder welche Zahnzwischenraumbürste für Sie geeignet, und wie sie anzuwenden ist, erfahren Sie ebenfalls bei uns.

Auch wenn Sie es vielleicht lästig finden, zur Gesunderhaltung von Zähnen und Zahnfleisch kommen Sie um die häusliche Zahnreinigung nicht herum. Spüllösungen zur Verringerung der Plaque haben nicht die Wirkung wie eine gründliche mechanische Zahnreinigung. Auch durch Kaugummikauen ist kein vergleichbarer Effekt für ihre Zahngesundheit zu erzielen, es sollte wirklich die Ausnahme sein. Bedenken Sie: Mit richtiger regelmäßiger Mundhygiene können Sie den beiden häufigsten Erkrankungen der Mundhöhle, Karies und Zahnfleischerkrankungen, vorbeugen. Sie haben es mit den häuslichen Propylaxemaßnahmen im wahrsten Sinne des Wortes selber "in der Hand", eine saubere Mundhöhle und eine attraktives Lächeln vorweisen zu können.

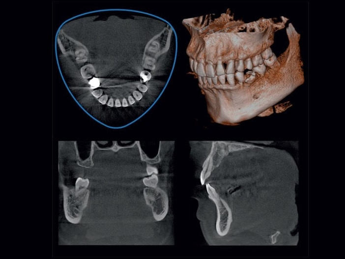
3D Röntgen mit digitaler Volumentomographie (DVT)

Durch unsere digitale 3D Röntgenanlage können wir die Strahlung, der Sie ausgesetzt sind, im Vergleich zum konventionellen Röntgen um bis zu 90 % verringern.

Unser modernes Röntgen- und Computersystem ermöglicht es uns, die aufgenommenen Röntgenbilder sofort am Monitor darzustellen und zu bearbeiten. Das hohe Auflösungsvermögen  gewährleistet eine genaue und sichere Diagnose und gibt uns und Ihnen die Möglichkeit, anhand der Darstellung am Monitor gemeinsam eine exakte Behandlungsplanung zu erarbeiten. 

Was habe ich durch das DVT 3D Röntgen für Vorteile?

Die Digitale Volumentomographie (DVT) ist ein hochmodernes dreidimensionales Röntgenverfahren. Diese Methode ermöglicht dem Zahnarzt, die Strukturen (z.B. Knochen, Zähne, Nervverläufe) im Kieferbereich dreidimensional zu betrachten und dadurch die vorgesehene Behandlung präzise zu planen.

Das DVT 3D Röntgen ermöglicht eine präzise Diagnostik: Die hochauflösenden 3D-Bilder liefern ein sehr genaues Abbild der knöchernen Strukturen, der Zähne und Zahnwurzeln. Eingriffe, wie Implantationen, können exakt geplant werden und Nervverletzungen vermieden werden.

Auch bei unklaren Beschwerden kann das DVT helfen. Zähne und Zahnwurzeln können dreidimensional dargestellt und von allen Seiten "beleuchtet" werden. So können Prozesse sichtbar werden, die beim herkömmlichen Röntgen von anderen Strukturen verdeckt werden.